|

癌症的问题并不在于细胞实际上没有“吸收”足够的氧气。而是线粒体(细胞的能量工厂)无法有效利用可用的氧气。 早在1925年,奥托·沃堡(Otto Warburg)就不会怀疑线粒体在癌症中的特殊作用。它们是在他一生中被发现的,但是其作用的重要性尚未得到证明。三氧不仅可以将更多的氧气发送到细胞中,还可以作为一种治疗方法。它会刺激细胞中的线粒体更有效地利用已有的氧气。 南方医科大学南方医院何晓峰教授团队发表一篇三氧疗法治疗癌症并发症的个体病例,发表在《世界临床病例杂志》。小编编译如下:
 介绍 中国食管癌的发病率和死亡率很高。根治性手术常常是用于大多数患者的一线治疗选择[ 1,2 ]。威胁生命的术后并发症的一种类型是胃-胸瘘14.1%全世界的入射[ 3,4 ],其可以与身体质量指数相关联[ 5 ]。有效的抗感染治疗是降低死亡率和改善患者生活质量的关键。 长期的临床试验已经证明,三氧既能有效地控制引起的各种细菌,真菌感染和病毒[ 6,7 ],促进组织修复[ 8 ]。在此,我们报告了食管癌综合治疗后并发严重胸腔感染并成功使用三氧治疗后的一例胃胸瘘。 案例介绍 投诉 一名50岁的女性在手术切口疤痕中出现了开放伤口,并于2019年7月31日因其左胸壁的伤口已重新张开而再次入院。 现病史 在2016年6月进行了根治性食管切除术以治疗食道鳞状细胞癌之后,于2019年5月,该患者左胸壁手术切口疤痕出现了开放性伤口。
 既往病史 该患者在2016年被诊断出患有中度分化的食管鳞状细胞癌。在手术后的3年中,该患者接受了对左肺转移瘤(40 Gy / 4 F),吻合部位和淋巴结转移(60 Gy / 30 F),右肺转移瘤(50 Gy / 5 F),两个肺转移瘤(48 Gy / 6 F)和胸骨转移瘤(45 Gy / 15 F)按时间顺序排列。

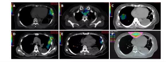
体检 该患者于2019年7月31日再次入院时,脸色苍白且脱水,身体左胸壁伤口重新张开,约2厘米×3厘米,并散发着恶臭化脓性分泌物。 实验室检查 2019年8月8日对胸膜引流液进行细菌培养和药物敏感性测试,结果显示耐甲氧西林的金黄色葡萄球菌和白色念珠菌呈阳性。定期对胸膜脓肿引流液进行细菌培养,表明存在铜绿假单胞菌(8月29日)和小肠克雷伯菌(9月30日)。 影像检查 当患者于2019年5月就诊时,全身正电子发射断层显像(PET-CT)显示形成了胃胸瘘,病变累及外侧胸壁(图3A和B),左肺活动性恶性肿瘤,下节段胸骨切开术,以及肝右叶。在内窥镜检查中确认到位于胃大曲率处的约5 cm的胃胸瘘(图3C和D)。2019年9月在计算机断层扫描(CT)检查中检测到所应用的引流管引流的脓肿不良。
 个人和家族史 患者没有吸烟或饮酒。她的母亲和兄弟都死于食道癌。 多学科专家咨询 南方医科大学南方医院胸外科副主任医师蔡瑞军 明确诊断出胃胸瘘,并且瘘管太大,无法进行再次手术或内窥镜治疗。 南方医科大学南方医院感染控制科副主任医师周浩 PET-CT图像显示,胃胸瘘并发严重感染,无法控制。 最终诊断 最终诊断为胃鳞状食管癌综合治疗后的胃胸瘘。 治疗 在2019年5月检测到瘘管后,她的口腔摄入受到限制,并在我们医院接受了胃肠减压治疗和鼻空肠营养支持,直到开放性伤口被密封为止。 在7月31日再次入院时,她接受了亚胺培南和磷霉素的静脉给药以治疗感染,并放置了胃管冲洗伤口。她还接受了甲硝唑,肠内营养支持和静脉内营养补充。她的手术疤痕部位的开放性伤口经过局部脓胸和消毒处理,换药。空肠营养管和胃胸瘘管引流管于8月7日放置,术后用生理盐水冲洗瘘管。检测耐甲氧西林的金黄色葡萄球菌和白色念珠菌后8月8日,磺胺甲恶唑联合氟康唑静脉注射以控制感染。接下来,我们开始应用15 µg / mL的三氧水每天冲洗一次(每次500 mL),并从8月10日开始口服12 µg / mL的三氧水(每天500 mL)。随后,在检测到假单胞菌后根据药物敏感性测试的结果,除了阿米卡星联合环丙沙星(9月30日)外,除铜绿霉素(8月29日)和奥氏杆菌(9月30日)外,还将静脉抗生素调整为哌拉西林钠和他唑巴坦钠注射液(9月4日)。 发现白细胞数目和中性粒细胞的比例在9月3日持续增加(图4A和B),表明感染控制不力。在发现脓肿引流不畅的情况下,我们于9月10日在CT的指导下应用了封闭的胸腔引流,从而引出了浓稠的暗红色液体。

然后患者接受2个月的充分引流并用三氧水冲洗。 结果与随访 病人的感染得到了令人满意的控制,胸腔闭式引流后白细胞数量和中性粒细胞比例逐渐降低(图4A和B)。降钙素原也下降,表明相关症状,包括严重的细菌感染和败血症,正在逐渐改善(图4C)。C反应蛋白水平波动,与患者潜在疾病的变化有关,包括阻塞性肺炎(图4D)。 治疗期间的CT检查显示,胃胸瘘壁逐渐增厚(图5A-F)。使用Interactive Medical Image Control System 21软件(比利时Materialise)从CT图像重建瘘管的三维立体图。使用ITK-SNAP 3.8.0(宾夕法尼亚大学的尤什科维奇和犹他大学的Gerig),基于瘘管的体素体积的总和来测量瘘管体积,分别为131、144、155、162、98和131。在8月20日,8月26日,8月30日,9月2日,9月17日和10月8日分别为96 mL(图5A’-F’)。

9月20日,她左胸壁的开放伤口被密封。她没有抱怨发冷,发烧或其他类型的不适。 讨论 胃胸瘘患者的一线治疗通常包括保守的方法[ 9 ],包括限制口服摄入,控制感染,胸腔引流和营养支持。症状严重的患者也可能需要干预内窥镜,诸如内窥镜夹子,纤维蛋白胶,缝合线,支架,或两种或更多种技术的结合[ 10,11 ] ; 然而,由于严重的感染和身体状况较差,它是具有挑战性的内窥镜进行裁剪或重新操作为这些患者[ 12,13 ]。然后,我们可以使用三氧水,此前尚未有报道将其用于食道瘘管食管癌患者。 在这里介绍的情况下,由于反复放疗,胃胸瘘位于胃大曲率处,并伴有脆性的局部组织,并具有高张力。因此,内窥镜干预在技术上将具有挑战性。此外,由于身体状况不佳和患者的严重感染,其他常规的保守治疗方法(包括抗生素给药,口服摄入和肠胃外营养)效果不佳,这给我们提供了更有效的抗感染治疗和足够的引流服务。重要的选择。在对该患者进行治疗期间,将胸腔引流管放置在脓性腔中的最低位置,而不是通过原始的较高的胸壁瘘管放置,并每天用三氧水冲洗, 结论 总之,如本例所示,适当的局部引流和抗感染治疗可能是帮助胃内瘘无法闭合并合并严重感染的胃胸瘘患者生存的最佳选择。与传统的保守治疗相结合,应用局部三氧水冲洗来控制感染可以促进胸壁瘘的愈合并改善患者的生活质量。
|